White Fillings
Improve the appearance of your smile with cosmetic white fillings.
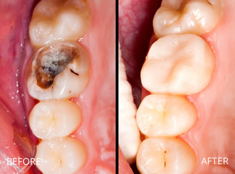
White Fillings For A Restored Smile That Looks Beautiful Too!

The typical filling material used in a tooth restoration is amalgam which is silver in colour. It is strong, durable and long-lasting but for some people it detracts from an otherwise attractive smile. For a beautiful and restored smile we also offer white fillings which blend into the shades and tones of the rest of the teeth. They restore the tooth in full just like silver fillings, but they provide a more pleasing aesthetic which some patients may prefer. You can opt for a white filling where a decayed tooth restoring and you can also speak to us about replacing your silver filling with a white filling if you feel you could benefit from the change.
If you would like white fillings or more information about them, please call us on 01254 790900

